Asimptomatski slučajevi korone NISU BEZBEDNI, jer ne osećaju ŠTA IM SE DEŠAVA: Kod njih nalazimo MLEČNO STAKLO u plućima i evo šta to znači

Novosti online

28. 06. 2020. u 18:56

Američki centar za kontrolu bolesti i prevenciju kaže da od ukupnog broja oko 20 do 50 odsto čine pacijenti koji nisu imali nikakve vidljive simptom

Асимптоматски случајеви короне НИСУ БЕЗБЕДНИ, јер не осећају ШТА ИМ СЕ ДЕШАВА: Код њих налазимо МЛЕЧНО СТАКЛО у плућима и ево шта то значи
Asimptomatski slučajevi infekcije su nova misterija nauke, a evo kakav je trenutni stav o njima.

Veliki deo ukupnog broja inficiranih čine "asimptomatski slučajevi". Američki centar za kontrolu bolesti i prevenciju kaže da od ukupnog broja oko 20 do 50 odsto čine pacijenti koji nisu imali nikakve vidljive simptome.

To je problem za sve, jer iako su asimptomatski, ti ljudi i dalje šire infekciju, ne znajući da su nosioci virusa.

Ono što je još veći problem je činjenica da, iako su pacijenti asimptomatski što znači da ne osećaju nikakve probleme, korona virus ostavlja trag u njihovom telu i posledice po zdravlje.

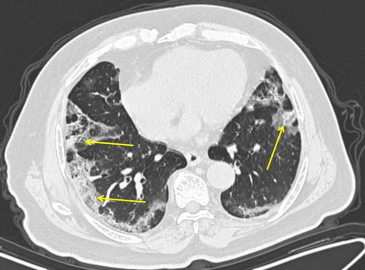
Naučni članak objavljen u Annals of Internal Medicine kaže da su snimci pluća asimptomatskih pacijenata pokazali određene abnormalnosti na plućima.

Tačnije, našli su ono što radiolozi nazivaju "mlečno staklo" koje se uglavnom javlja u donjem delu pluća, ali to ne mora uvek da bude slučaj. Ovaj naučni tekst tvrdi da se "mlečno staklo" javlja u 54 odsto asimptomatskih pacijenata.

- Ovo pokazuje da se ljudima pojavljuje šteta u organizmu koje nisu ni svesni - kaže Erik Topol, koautor ovog istraživanja i profesor molekularne medicine.

To nije jedino istraživanje koje je pokazalo pojavu "mlečnog stakla" kod asimptomatskih pacijenata.

A koliko je to ozbiljno? Niko nije potpuno siguran.

- "Mlečna pluća" nisu neuobičajena i postoji nekoliko uzroka za njih. Međutim, mlečno staklo nastalo usled Kovida-19 je drugačije. Oblik je okrugao i raspoređeni su po krajevima pluća, što je neuobičajeno - kaže Adam Bernejm, radiolog iz Mount Sinai bolnice u Njujorku.

On kaže da se ne može sa sigurnošću reći koje su dugoročne posledice ovih mlečnih pluća.

- Ako je u pitanju blaži oblik, moguće je da pluća zacele. Neki teži slučajevi ostavljaju ožiljke na plućima, zbog čega pacijente celog života prati kraći dah, a moguće je i da je povećana mogućnost oboljevanja od raka pluća. Međutim, ništa za sada ne možemo da tvrdimo sa sigurnošću - kaže on.

(Žena.rs)

Pratite nas i putem iOS i android aplikacije

Komentari (4)

Zika Jankovic

28.06.2020. 20:17

da li ce neko od ovih silnih naučnika konacno da ponudi i neko rešenje ili ce samo da pronalaze nove probleme i razloge zašto ništa uradjeno nije...

SASA

29.06.2020. 13:29

Tvoj auto doslepaju kod mene u radionicu a ja kazem prolupao ali sta dalje, neznam.