Evo šta tačno KORONA VIRUS radi ljudskom telu: IMAMO SREĆE što nije manji, a kijanje i kašljanje mu pomažu (FOTO/VIDEO)
01. 02. 2020. u 17:15
Postoje tri glavne teorije o poreklu virusa, no sve ih treba uzeti sa rezervom jer još uvek imaju određenih neodgovorenih pitanja
Foto: AP Photo/Achmad Ibrahim
U ovom tekstu portal „Index.hr” pokušava na jednostavan način da adresira sva najvažnija pitanja koja se obično javljaju u raspravama o korona virusu, a nisu adresirana na jednom mestu.
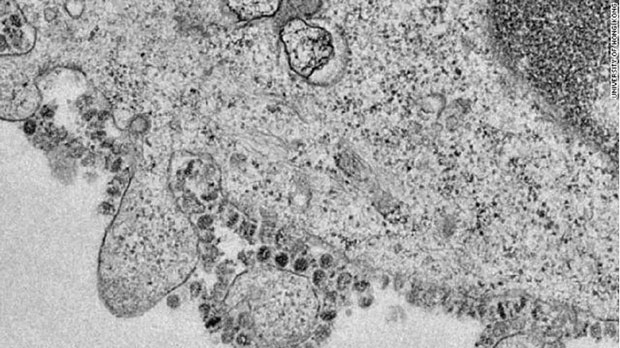
Pročitajte još: Objavljen snimak RAZMNOŽAVANjA korona virusa: Svaka inficirana ćelija može da proizvede hiljade novih virusnih čestica (VIDEO)
Virusi su biološki agensi na granici živog i neživog. Za razliku od većine živih organizama nemaju ćelije niti ćelijske delove koji bi im omogućili hranjenje, razvoj i razmnožavanje. Zbog toga funkcionišu poput parazita - u stvaranju svojih proteina, genetskog materijala, ovojnica i potomstva potpuno zavise od mehanizama stvaranja energije (mitohondrijima) i belančevinama (ribozomima) ćelija domaćina. Ipak, za razliku od manjih zaraznih agensa, poput priona koji uzrokuju kravlje ludilo, virusi sadrže gene koji im omogućuju da se umnožavaju, mutiraju i evoluiraju. Do danas je otkriveno preko 5000 virusa. Najbrojniji su organizmi na Zemlji.
KAKO SE VIRUSI MOGU VIDETI?
Veličina virusa kreće se između 20 i 300 nanometara (nm), što znači da su stotibak puta manji od bakterija. Zbog malenih dimenzija većina nije vidljiva optičkim mikroskopom. Naime, spektar talasnih dužina vidljivog svetla kreće se od 380 nm do 740 nm, što znači da su virusi uglavnom manji od najmanjih talasnih dužina. Stoga se uglavnom posmatraju elektronskim mikroskopima.
Novi korona virus 2019 n-CoV sa promerom od 125 nm (zajedno sa šiljcima) spada među veće viruse. To je dobro jer to znači da se teže širi najsitnijim kapljicama koje mogu dugo da lebde u vazduhu i dosegnu udaljenosti od više metara. Osim toga, u jednu kapljicu stane manje velikih virusa nego malih kao što je, na primer, virus gripa.
KAKO SU GRAĐENI VIRUSI?
.jpg)
Virusi mogu biti neovijeni (slika A gore) ili ovijeni (slika B dole).
Slika A - Virusnu česticu (5) čini nukleokapsida (4) koja se sastoji od (1) kapside, odnosno proteinske ljuske koja obavija i štiti genetski materijal virusa od delovanja enzima ćelije domaćina. Kapsida je građena od podjedinica, tzv. kapsomera (3) i nosilac je virusnih antigena po kojima obrambeni mehanizam prepoznaje viruse i reaguje na njih napadom. U kapsidi se nalazi genetski materijal virusa, odnosno nukleinska kiselina koja sadrži uputstva potrebna za umnožavanje virusa. Kod nekih virusa to je dvostruka DNK, a kod nekih jednostruka RNK. U slučaju korona virusa 2019 n-CoV, to je RNK.
.jpg)
Slika B - Neki virusi obavijeni su lipidskom ovojnicom (6) koja potiče od ćelije u kojoj se umnožavaju. Iz nje strše glikoproteinski izdanci (7) kojima se virus prihvaća na ćeliju primaoca. Takvi su, među ostalim, virusi gripa, HIV-a i korona virusi.
Glikoproteini u šiljcima korona virusa kojima se oni vežu uz ćelije domaćina nazivaju se S (od „spikes” – šiljci). korona virusi su ime dobili upravo po tim šiljcima koji na snimcima podsećaju na vrhove krune (slika dole).
.jpg)
KOJE JE POREKLO VIRUSA?
Postoje tri glavne teorije o poreklu virusa, no sve ih treba uzeti sa rezervom jer još uvek imaju određenih neodgovorenih pitanja.
REGRESIVNA TEORIJA
Prema toj teoriji, virusi su nekada davno mogli biti male ćelije koje su parazitirale na većim ćelijama. S vremenom su izgubili gene koji im nisu bili važni za parazitiranje. U prilog takvoj mogućnosti govore bakterije poput rikezije i hlamidije koje su žive ćelije, ali se poput virusa mogu razmnožavati samo unutar ćelija domaćina.
TEORIJA ĆELIJSKOG POREKLA
Neki su se virusi možda mogli razviti iz delića DNK ili RNK koji su "pobegli" iz genoma većih organizama. Izbegli delovi DNK mogli su poteći iz plazmida - delova DNK koji se mogu kretati između ćelija (slika dole), dok su drugi možda evoluirali iz bakterija.
TEORIJA KOEVOLUCIJE
Virusi su se možda razvili iz složenih molekula proteina i DNK u isto vreme kad su se ćelije prvi put pojavile na Zemlji. Zavisile su o ćelijskom životu milionima godina.
KAKO SU EVOLUIRALI KORONA VIRUSI?
Kada je čovek pre 10-ak hiljada godina od lovca sakupljača postao poljoprivrednik stočar, bliski kontakt sa životinjama omogućio je razvoj brojnih bolesti koje su prelazile sa životinja na ljude i obratno – tzv. zoonoza. Zanimljivo je da se tada očekivano trajanje ljudskog života značajno skratilo. No, sigurnost dostupnosti hrane ipak je predstavljala evolutivnu prednost. Danas se smatra da je najskoriji zajednički predak svih korona virusa star najmanje 10.000 godina. Procenjuje se da se SARS, koji je zoonoza, odvojio 1986. Smatra se da je sa slepog miša prešao na vrstu divljih mačaka - cibetke, a potom na tržnicama na ljude. Novi korona virus 2019 n-CoV (stvarna snimka dole) prvi je put zabeležen krajem 2019. godine, genetski se podudara sa SARS-om više od 70%, a klasifikovan je kao vrsta betakorona virusa. Takođe se smatra da je potekao od šišmiša, no posrednik za sada nije poznat.
.jpg)
KAKO I ZAŠTO VIRUSI NAPADAJU ĆELIJE?
Virusima za svoju reprodukciju trebaju ćelije domaćina pa napadaju sve žive organizme, uključujući biljke, gljive, bakterije i arheje. Kako bi ušli u ćelije, pričvršćuju se na njihove receptore na membrani uz pomoć glikoproteina koji štrče iz njih. U slučaju korona virusa, to su glikoproteini S na šiljcima (naziv S dolazi od spike - šiljak).
Nakon što se učvrste na ćeliju, u nju ulaze na različite načine. Kada uđu, zaštitna ljuska kapsida se razgrađuje i oslobađa se genski materijal virusa – DNK ili RNK. Taj materijal preuzima kontrolu nad ćelijom svojim porukama i počinje je koristiti za izgradnju vlastitih delova – za sintezu vlastitih proteina, vlastitih genetskih poruka i ljuski. Tokom umnožavanja virusa nastaju promene na površini i u unutrašnjosti inficirane ćelije. Kada se svi delovi novih virusa sastave i on se umnoži, obično kreće izlazak iz ćelije radi daljnjeg širenja i reprodukcije. Prilikom izlaska ćelija obično biva uništena. Neke vrste virusa mogu dugo vremena da ostanu pritajene u ćelijama.
Obrambeni sistem organizma ne uništava samo viruse već i zaražene ćelije. Kada virus uđe u ćeliju, obrambeni sistem ne može prepoznati što je u njoj. ćelije stoga koriste mehanizme kojima deliće virusa izbacuju na svoju površinu kako bi signalizirale da su zaražene. Obrambeni sistem ih prepoznaje pa uništava zaražene ćelije zajedno s virusima. To čine T ćelije opremljene raznim otrovima kao što su citotoksini. Napad virusa ponekad može izazvati preteranu obrambenu reakciju koja se očitava kao citokinska oluja. Takve preterane reakcije obično uzrokuju oštećenja tkiva domaćina i bolove poput bolova u zglobovima. Problem se dalje komplikuje ako se obnavljanje tkiva ne odvija kako treba pa u njima nastaju ožiljci. Jake upale mogu čak uzrokovati sistemske citokinske oluje koje potom mogu izazvati oštećenja u brojnim organima i njihovo otkazivanje. Jedna od teških posledica napada novog korona virusa je zatajenje bubrega.
.jpg)
KOJE BOLESTI UZROKUJU KORONA VIRUSI?
Korona virusi uglavnom napadaju gornje delove disajnog sistema i uzrokuju prehlade s blagim simptomima. Međutim, neki poput SARS-a, MERS-a i virusa iz Vuhana napadaju donje delove respiratornog sistema pa mogu uzrokovati virusne upale pluća koje se teško leče. 2019-nCoV uzrokuje povišenu telesnu temperaturu, iscrpljenost, suvi kašalj, kratkoću daha, respiratorni zastoj, bronhitis, upalu pluća, zatajenje bubrega, a u najtežim slučajevima sepsu i smrtonosni ishod.
ZAŠTO VISOKA TEMPERATURA?
Jedan od simptoma infekcije virusa, uključujući i 2019-nCoV, koji su korisni za borbu protiv bolesti je povišena temperatura. Virusi uglavnom vole temperaturu od 37,5 °C, što je otprilike normalna telesna temperatura. Kako imunološki sistem pokušava da ubije virus i spreči njegovo umnožavanje, on podiže normalnu telesnu temperaturu kako bi se virus stavio izvan optimalnih uslova. To olakšava ćelijama imunog sistema da telo oslobode infekcije. Uz temperaturu obično ide i groznica i osećaj hladnoće. To se zbiva jer mozak uverava obolelo telo da njegova temperatura treba biti viša nego što jeste. U kasnijim fazama groznice često se javlja znojenje. Ono je pokušaj tela da ponovo smanji telesnu temperaturu jer ona može biti opasna za organizam.
ZAŠTO SMO TOKOM INFEKCIJE OBIČNO BEZVOLjNI ILI ČAK DEPRESIVNI?
Svako ko je doživeo virusnu ili bakterijsku infekciju zna što znači osećati se bolesno. Ponašanje bolesnih ljudi dramatično se menja: često osećaju groznicu i mučninu, ignorišu hranu i pića te gube interes za fizičko i društveno okruženje. Lako se umaraju, a san im je često fragmentiran. Osim toga, osećaju se depresivno i razdražljivo pa mogu da dožive blage kognitivne poremećaje u rasponu od oslabljene pažnje do poteškoća u kratkoročnom pamćenju. Istraživanja su pokazala da ovakve simptome u organizmu uzrokuju citokini koji imaju važnu funkciju u uništavanju virusa i inficiranih ćelija. Naime, proupalni citokini ne deluju samo na zaraženo tkivo već i na nervni sistem i mozak. Novije studije otkrile su da je ponašanje karakteristično za bolest odgovorno za reorganizaciju percepcija i radnji kako bi se bolesni pojedinci više odmarali i kako bi mogli bolje da se nose sa infekcijom.
ZAŠTO KAŠALj I KIJANjE?
Respiratorni virusi, kao što je novi korona virus, napadaju ćelije disajnog sistema - od nosa, preko grla, do pluća. Obrambeni sistem napada viruse različitim otrovima, a rezultat su oštećena i nadražena tkiva. Ova nadraženost potiče na kašalj i kijanje. Novija istraživanja pokazuju da naš organizam nema puno koristi od kijanja i kašljanja u smislu oslobađanja od tereta virusa, no virusi svakako imaju koristi jer im to omogućuje širenje. Drugim rečima, za njih je podražavanje na kašalj i kijanje koje uzrokuju evolutivna prednost.
Lazar
01.02.2020. 17:55
Ovo se zove "Nove tehnologije rata".Kad nemozes neku silu koja je u ekonomskoj ekspanziji da pobedis ekonomski onda labaratorija cini cudo.Ovo je samo jedan u nizu oblika savremenog rata.Sad sto su civili i neduzni na tom putu nije vazno.Videli smo i mi na nasoj kozi koliko jahaci savremenog globalizma se brinu o narodu kad su im na putu do izvora potencijala .Taj isti potencijal ili rezerve resursa se pretace u dolare i puni kasu globalistima.
sve iz laboratorije.. samo ekonoski da uspore kinu
Сасвим нормално, Америка је вирус САВРШЕНО РАЗВИЛА!!!
Nema to veze sa dimenzijama!!!!!Variola vera je najveci DNK virus a znate kakav je!!!!!!Corona virus ima smrtnost 10 %(zadnja epidemija). Prenosi se kroz vazduh ali moze I kontaktom( prljave ruke)!!!!Corona je oboljenje zivotinja I mogu da je prenesu : Ptice,svinje,psi,macke,kamile,slepi misevi,zmije…..Prakticno SVI.Normalno sada I ljudi ahahahahahah.
''Novija istraživanja pokazuju da naš organizam nema puno koristi od kijanja i kašljanja u smislu oslobađanja od tereta virusa''---------hahahah .Jel vam to rekao Dr Nestor?
Komentari (6)