Objavljen snimak RAZMNOŽAVANJA korona virusa: Svaka inficirana ćelija može da proizvede hiljade novih virusnih čestica (VIDEO)

NovostiOnline

01. 02. 2020. u 08:18

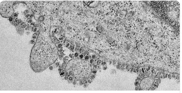
Naučnici sa univerziteta Hongkong objavili su prvi snimak na kojem se vidi razmnožavanje novog koronavirusa, saopštio je Blumberg

Објављен снимак РАЗМНОЖАВАЊА корона вируса: Свака инфицирана ћелија може да произведе хиљаде нових вирусних честица (ВИДЕО)
Naučnici sa univerziteta Hongkong objavili su prvi snimak na kojem se vidi razmnožavanje novog koronavirusa, saopštio je Blumberg.


Na snimku se vidi ćelija koja je zaražena koronavirusom 2019-nCoV.


Kako su saopštili naučnici, svaka ćelija koja je inficirana virusom može da proizvodi hiljade novih virusnih čestica.


Džon Nikols, jedan od istraživača koji se bavi proučavanjem virusa izjavio je da je univerzitet spreman da pruži rezultate rada drugim naučnicima koji nemaju pristup informacijama.


Broj žrtava korona virusa porastao je na 259, dok je skoro 12.000 osoba obolelo širom sveta.


Kako javljaju mediji, novi virus opustošio je gradove u Kini na čijim ulicama gotovo da nema nikoga. U Hongkongu prodavnice su uglavnom zatvorene, obustavljen je rad u školama, a zaposlenima je rečeno da mogu da rade od kuće.


U strahu od virusa, mnogi građani su se zatvorili u kuće, a zabeleženo je da je u apotekama i prodavnicama rasprodata roba, kao i da se ispred njih formiraju redovi za kupovinu.


Primetno je i da građani koji se kreću po ulicama i obavljaju svakodnevne aktivnosti nose maske.


Novi koronavirus pojavio se u decembru najpre u kineskog gradu Vuhan, odakle se proširio i na druge gradove u Kini i širom sveta.




— Bloomberg (@business) January 31, 2020

Pratite nas i putem iOS i android aplikacije