lečenje depresije
SPREJ LEČI OTPORNU DEPRESIJU: Otkriće novog ispitivanja
SPREJ za nos u kome se nalazi odgovarajući lek, delotvoran je u lečenju otpornih vidova depresije, preneo je britanski dnevni list "Fajnenšel tajms". Taj sprej bio bi, prema rečima biotehnologa i farmaceuta, održivija i pristupačnija opcija za zdravstvene sisteme, ali i psihijatrijske pacijente širom sveta.
17. 07. 2025. u 07:00
Većina obolelih od depresije se ne leči
U Srbiji oko 250.000 ljudi pati od depresije, a uprkos tim velikim brojkama ostaje i dalje nedovoljno prepoznata u društvu.
10. 12. 2024. u 13:41
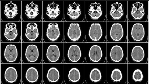
ELEKTRIČNIM IMPULSIMA PROTIV DEPRESIJE? Stručnjaci na psihološke probleme pokušavaju da utiču novi eksperimentalnim tretmanom
STRUČNjACI u SAD kažu da bi novi eksperimentalni tretman poznat kao duboka stimulacija mozga (DBS) mogao da pomogne u borbi skoro tri miliona Amerikanaca sa depresijom kojima ne pomažu drugi tretmani.
10. 03. 2024. u 07:30